Docteur Rémy Ouazana
Chirurgien-dentiste Paris 16 ème

73 Avenue Paul Doumer
75016 Paris

Docteur Rémy Ouazana
Chirurgien-dentiste Paris 16 ème

Avril 2021


Cas clinique du mois du Docteur Ouazana

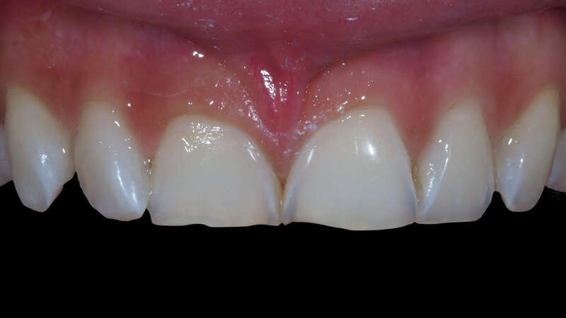
Patiente venue pour réhabiliter son sourire présentant des usures et une incisive latérale versée. Le choix thérapeutique fut la réalisation de 4 facettes Emax stratifiées en préparation pelliculaire, après analyse et validation du projet esthétique en bouche.

Avant
Après

Articles similaires

Création par Webdentiste

Connexion