Docteur Rémy Ouazana
Chirurgien-dentiste Paris 16 ème

73 Avenue Paul Doumer
75016 Paris

Docteur Rémy Ouazana
Chirurgien-dentiste Paris 16 ème

Bridge cantilever

Le bridge cantilever, dit en extension, est une alternative durable et non-invasive à l’implant dans le secteur esthétique. Grâce à l’amélioration des céramiques et des techniques de collage, il nous est possible de réaliser un bridge collé sans délabrer la dent « support de bridge », grâce au propriétés mécaniques et esthétique de la céramique Emax (disilicathe de Lithium); en faisant tenir la dent manquante grâce à une ailette collée sur la dent support.


Ce traitement est très utile de les cas d’agénésie (absence de la dent) des incisives latérales; chez les patients « jeunes » , ou lorsque l’implant n’est pas réalisable.

Cas cliniques du Docteur Ouazana

Cas clinique du Docteur Ouazana

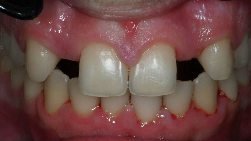
Patient adressé après son traitement orthodontique. Le patient présente une agénésie des 2 incisives latérales maxillaires. Deux bridges collés en céramique appelé bridge cantilever ont été réalisés après aménagement de l'espace et de la gencive..

CAS CLINIQUE DU DOCTEUR OUAZANA
CAS CLINIQUE DU DOCTEUR OUAZANA après
Avant
Après
 bridge cantilever AVANT  bridge cantilever après
Avant
Après
 bridge cantilever AVANT  bridge cantilever après

Cas clinique du Docteur Ouazana

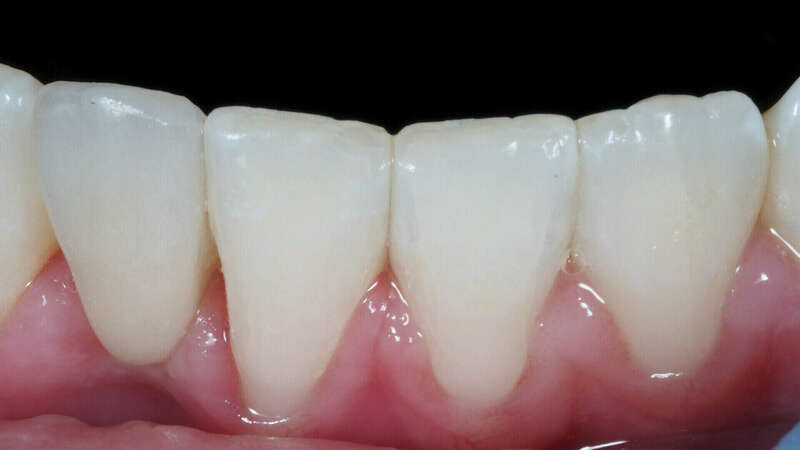
Patiente adressée après son traitement orthodontique. La patiente présente une agénésie d'une incisive latérale mandibulaire. Un bridges collé en céramique appelé bridge cantilever a été réalisé après aménagement de l'espace et de la gencive.

Cas clinique du Docteur Ouazana
Cas clinique du Docteur Ouazana 1
Cas clinique du Docteur Ouazana 2
Cas clinique du Docteur Ouazana 3
Cas clinique du Docteur Ouazana 4
Cas clinique du Docteur Ouazana 5
Avant
Après
 bridge cantilever AVANT  bridge cantilever après

Création par Webdentiste

Connexion