Docteur Rémy Ouazana
Chirurgien-dentiste Paris 16 ème

73 Avenue Paul Doumer
75016 Paris

Docteur Rémy Ouazana
Chirurgien-dentiste Paris 16 ème

Mai 2020


Cas clinique du mois du Docteur Ouazana

Patient venu en consultation pour une réhabilitation complète esthétique et fonctionnelle, les gênes majeurs étant les usures , les dents manquantes et la teinte de ses dent.

Traitement proposé et réalisé :

- Soin des lésions carieuses

- Smile design au laboratoire et validation du projet esthétique avec le patient en bouche

- claircissement externe par gouttières à port nocturne afin de permettre l’utilisation d’une céramique plus translucide et naturelle

- Pose de 3 implants

- Réalisation des couronnes ,facettes et de 3 couronnes sur implant en céramique Emax stratifiée

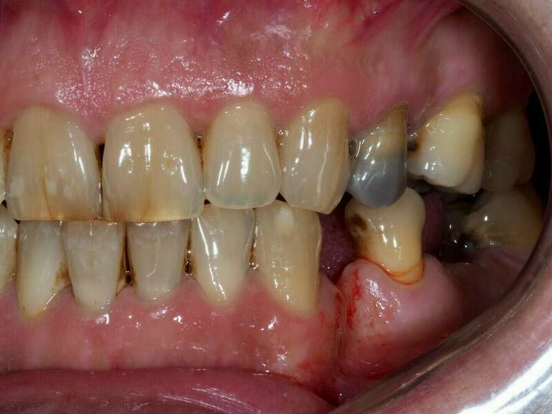
Avant
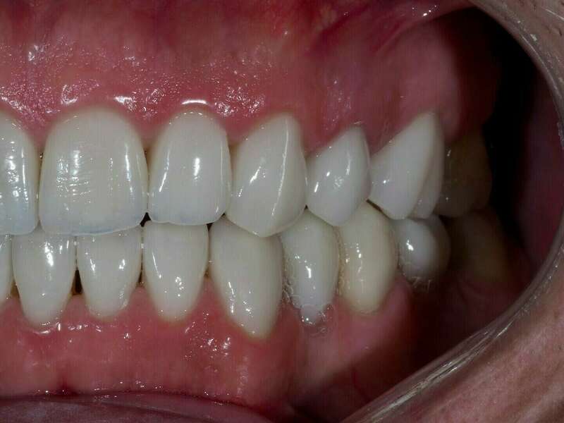
Après
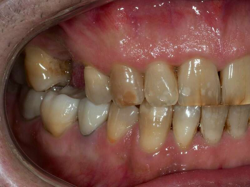
Avant
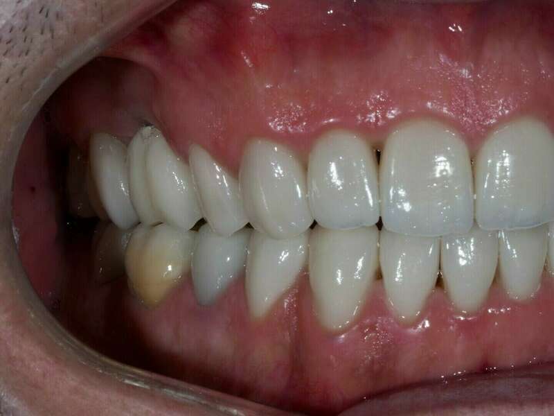
Après

Articles similaires

Création par Webdentiste

Connexion