Docteur Rémy Ouazana
Chirurgien-dentiste Paris 16 ème

73 Avenue Paul Doumer
75016 Paris

Docteur Rémy Ouazana
Chirurgien-dentiste Paris 16 ème

Mars 2021


Cas clinique du mois du Docteur Ouazana

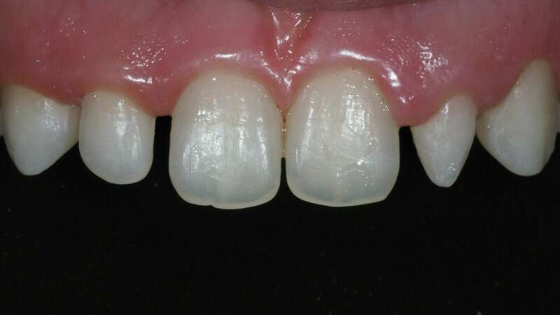
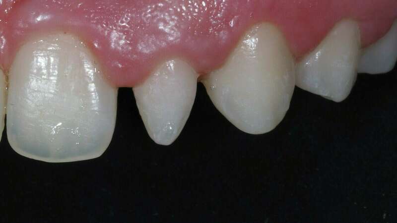
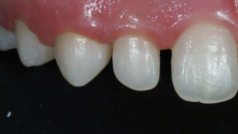
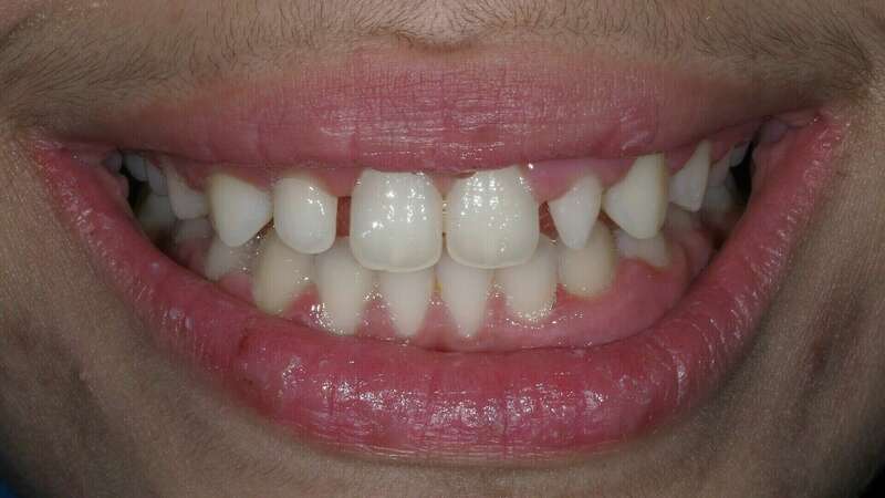
Patiente adressée par son orthodontiste après la fin du traitement pour restaurer les incisives latérales riziforme (en forme de grain de riz). Deux facettes en céramique stratifiées ont été réalisées quasiment sans délabrement de la dent en reproduisant l'ensemble des caractéristiques esthétique des jeunes dents de la patiente.

Avant
Après
Avant
Après
Avant
Après
Avant
Après

Articles similaires

Création par Webdentiste

Connexion