Docteur Rémy Ouazana
Chirurgien-dentiste Paris 16 ème

73 Avenue Paul Doumer
75016 Paris

Docteur Rémy Ouazana
Chirurgien-dentiste Paris 16 ème

Octobre 2019


Cas clinique du Docteur Ouazana

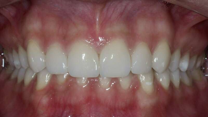
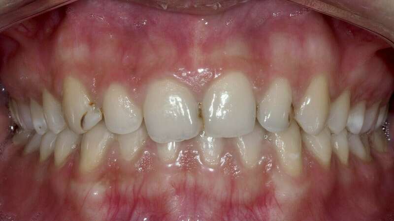
Patiente venue en consultation pour améliorer son sourire, gênée par les malpositions, par les anciennes restaurations et surtout par le fait que son sourire soit très peu visible.

Traitement proposé et réalisé :

- Éclaircissement externe par gouttière

- Réalisation de 6 facettes pelliculaires en céramique Emax maquillée (préparation a minima)

Avant
Après

Articles similaires

Création par Webdentiste

Connexion