Docteur Rémy Ouazana
Chirurgien-dentiste Paris 16 ème

73 Avenue Paul Doumer
75016 Paris

Docteur Rémy Ouazana
Chirurgien-dentiste Paris 16 ème

Septembre 2019


Cas clinique du Docteur Ouazana

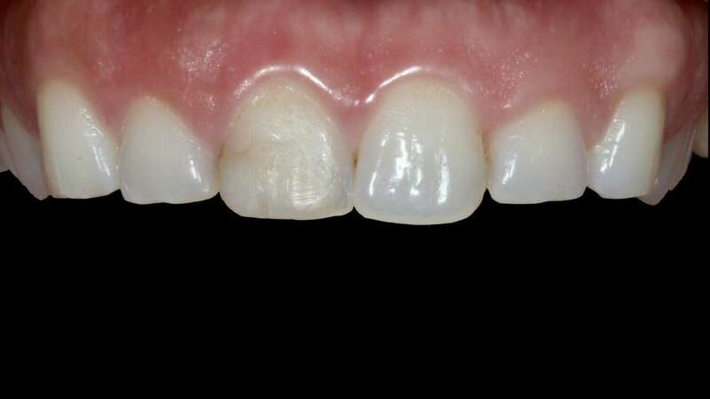
Patiente venue en consultation pour améliorer l'esthétique de son sourire , génée par une dent anciennement restaurée au composite.


Traitement réalisé : Eclaircissement externe des dents ("blanchiment"), puis réalisation d'une seule facette en céramique Emax stratifiée

Avant / Après

Avant
Après
Avant
Après

Articles similaires

Création par Webdentiste

Connexion