Docteur Rémy Ouazana
Chirurgien-dentiste Paris 16 ème

73 Avenue Paul Doumer
75016 Paris

Docteur Rémy Ouazana
Chirurgien-dentiste Paris 16 ème

Septembre 2021


Cas clinique du mois du Dr Ouazana

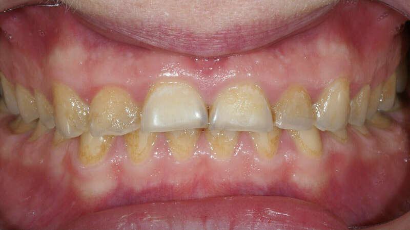
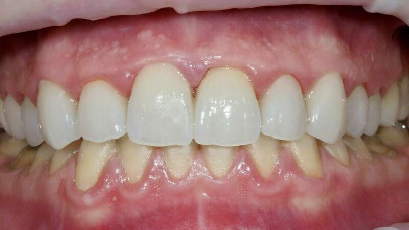
Patiente adressée pour une prise en charge esthétique et fonctionnelle. La patiente présente d'importante usures dentaires. La réalisation s'est déroulée en deux étapes majeures :

- planification esthétique et fonctionnelle du projet, validée en bouche ( nouvelle dimension verticale des dents et nouvelle forme du sourire)

- réalisation et collage des différents éléments en céramique

Avant
Après

Articles similaires

Création par Webdentiste

Connexion