Docteur Rémy Ouazana
Chirurgien-dentiste Paris 16 ème

73 Avenue Paul Doumer
75016 Paris

Docteur Rémy Ouazana
Chirurgien-dentiste Paris 16 ème

CAS CLINIQUE DU MOIS DE SEPTEMBRE 2021

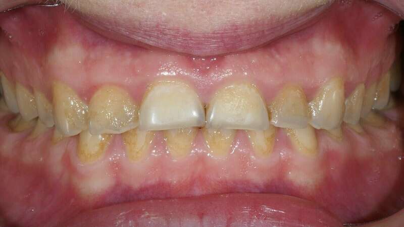
Patiente venue en consultation pour une réhabilitation complète esthétique et fonctionnelle, suite à une usure avancée de ses dents.

Traitement proposé et réalisé en deux temps , le maxillaire en céramique collé, et la mandibule en composite injecté:


- Augmentation de la dimension verticale des dents pour palier la perte due à l'usure

- Smile design au laboratoire et validation du projet esthétique avec la patiente en bouche

- Réalisation de facettes et couronnes collées en céramique Emax Stratifiée

Avant

Après

Avant
Après
Avant
Après

Création par Webdentiste

Connexion